how to create a web page
Mobirise

Canine Chest Reconstruction

3D Imaging

Our CT images are automatically reconstructed into 3D images to allow complete evaluation and the best possible diagnostic available for your pet. 

Mobirise

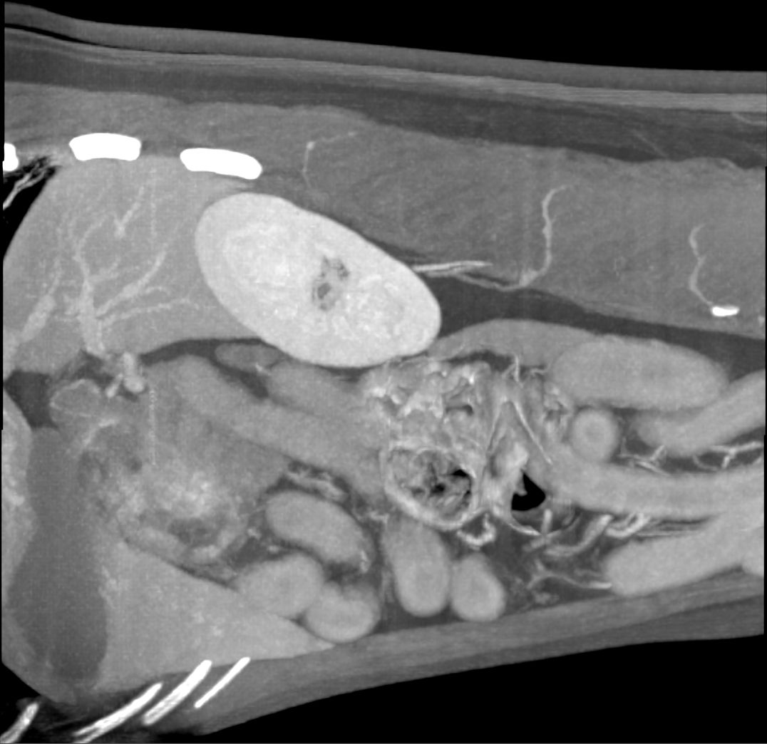
Liver Mass

Better Diagnostics=Better Care

The more information you can acquire for your pet when they are sick or hurt, the better recommendations your vet and our specialists can make.  

It is a scary time when your pet needs advanced care.  Let us come to you to make sure you can make the best decisions for your pets care. 

Mobirise

Kidneys

DO NOT ACCEPT less than the BEST

We have the most advanced imaging available, which allows us to see bones, blood vessels, organs and joints with the best resolution and clarity available.  Our scans take less than ONE MINUTE and is the best decision you can make for your pets care. 

Mobirise

Highest Resolution CT Machine

Best Service, Most Convenient

We literally bring advanced imaging to your veterinarians doorstep.  This means you work with the veterinarians you trust, because your veterinarians trust us.  Our mobile unit is specially designed to provide specialty level anesthesia and monitoring for the safest anesthesia possible.  We care for your pet as if they were our own pet. 

3d Modeling

This video shows you how we use 3d digital models, printed models and augmented reality to improve your pets care

Reconstruction techniques for 3D Images

© Copyright 2025 Mobirise. All Rights Reserved.