easy site maker

CT versus Ultrasound

3d high resolution images versus 2d low resolution
CT

Abdominal CT of Adrenal mass. 

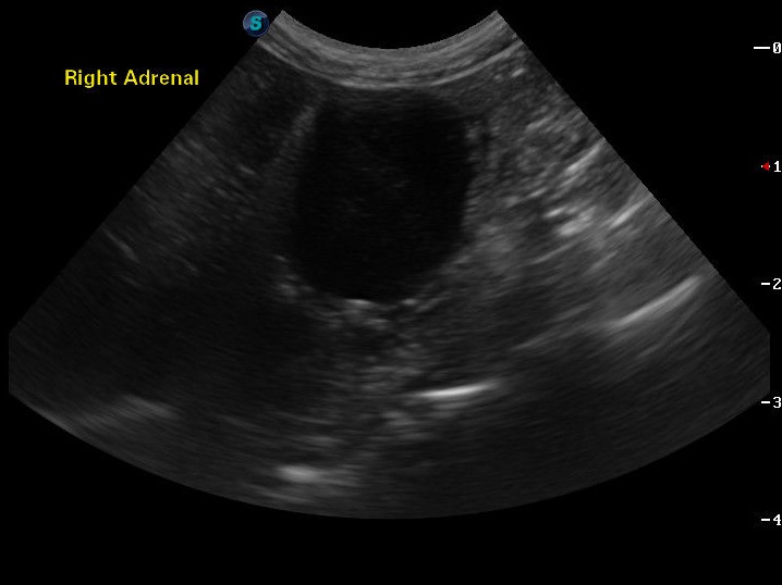
Ultrasound

Abdominal Ultrasound of Adrenal Mass.

CT

Abdominal CT of Kidneys

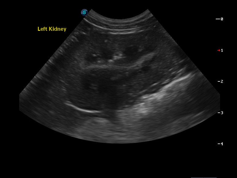
Ultrasound

Abdominal Ultrasound of a Kidney

CT versus Standard X-Rays

3d high resolution images versus 2d X-Rays
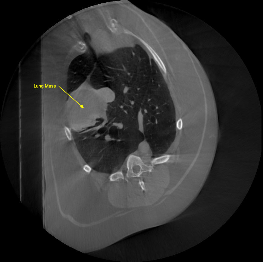
CT

Chest CT Demonstrating masses in the lungs.

Standard X-Rays

Chest X-Rays of masses in Lungs. 

© Copyright 2025 Mobirise. All Rights Reserved.